Skip to content
Al Andersen
Providing inspiration for your journeys on the Trail, Personal, and Work Life
Menu
Home
Resume
Contact
Previous Image
Next Image
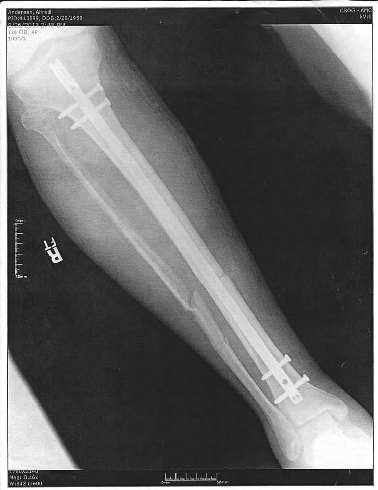
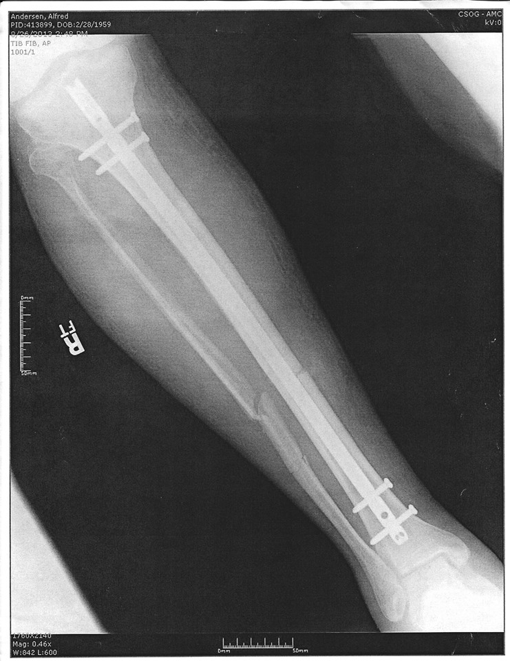
right leg xray picture 1
Leave a comment
Cancel reply
Δ
Post navigation
Published in
Having Courage and Giving Hope
Comment
Subscribe
Subscribed
Al Andersen
Sign me up
Already have a WordPress.com account?
Log in now.
Al Andersen
Subscribe
Subscribed
Sign up
Log in
Copy shortlink
Report this content
View post in Reader
Manage subscriptions
Collapse this bar